1本の歯にこだわったオールセラミッククラウン

![]()

| 治療内容 | 自分の歯を土台として、セラミック製の被せ物(冠)をかぶせて見た目や咬合機能の回復をはかる治療方法。 |
|---|---|
| 自費診療 | オールセラミッククラウン法は自費診療となり健康保険対象外です。 |
| 治療費 | 125,000円(税別) |
| 治療期間 | 約3ヶ月 |
| 主なリスク 副作用 |
|
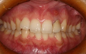
真ん中から右の2番目の歯の色が気になるとのことで来院され、昔入れたかぶせ物が古くなったのでやり直してほしいとのことでした。仮の歯に変えしばらく様子を見ていきます。このときに歯の形態や歯肉の状態を仮歯にて問題がないかを確認していきます。
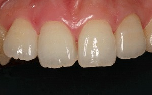
問題がなければ、型とりを行い次に技工士さんに渡し技工士さん、患者さん、歯科医師を交えて製作していきます。このときに、実際に患者さんの仮に装着してみることで他の歯とのバランス具合を確認し、完成させていきます。下の写真が完成後です。

1本の歯を他の歯と調和させることは大変難しいと感じています。しかし、それが出来れば多くの本数の症例に単純に応用できますので1本の歯に対する情熱が大切ではないかと当院では考えています。
オールセラミッククラウンについて詳しくは当院にお気軽にご相談ください。
CONTACT
ご予約・お問合せ
※土曜17時まで 休診日:日・祝
電⾞でお越しの⽅
「水前寺駅」より徒歩5分
「熊本駅」よりタクシーで約15分
お車でお越しの⽅
福岡方面から…「熊本インター」より約20分
鹿児島方面から…「益城熊本空港インター」より約20分
