当院のオールオン4症例
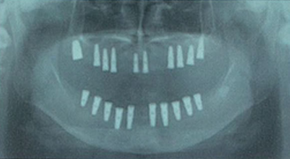
古い入れ歯⇒オールオン6の症例

義歯の不調により、オールオン4を希望。
今回はよりブリッジが安定するよう上下それぞれ6本にインプラントで埋入固定。
※インプラントの本数はその方の顎の骨の状態や症状により変わります。
本来、オールオン6という言葉はなく、埋入本数が3本でも5本でも6本でも治療名称は「オールオンフォー」と呼びます。
治療例即日で取りはずしの要らない歯に
その日に噛める日帰りインプラント・オールオン4
即日インプラントにも全く歯がない、総入れ歯の方でも状態により、即日でインプラント治療が可能です。オールオン4は、総入れ歯をお使いの方や多くの歯をなくした方のための最先端の治療法です。

オールオン4によるインプラントの配置
4本のインプラントを埋め込んだお口の中

最終ブリッジを取り付けた状態
インプラントを斜めに埋め込むことにより、噛む力をインプラント上に広く均等に配分できます
オールオン4は、埋め込むインプラントの数が最少4本*。骨の移植なども必要ありません。抜歯からインプラントの埋め込み、仮歯の装着まで、1日で行うことが可能になりました。
つまり、今まで使用していた歯や入れ歯が手術当日まで使え、その夜には新しいインプラントで支えられた仮歯で食事をとることができるのです。
オールオン4は、短期間で固定式の仮歯が入る画期的な治療法。たった1日でお口元が劇的に変わり、さまざまな入れ歯の悩みから解放されます。
(*顎の骨の状態によってはインプラントの本数が多くなることもあります。)
| 治療 内容 |
インプラント | 歯の無い場所、もしくは保存不可能な歯を抜歯した場所にチタン金属性の人工歯根を埋めいれ、それを土台にして人工の冠歯をかぶせて、見た目や咬合を回復する方法。 |
|---|---|---|
| オールオン4 | 上顎または下顎(片顎)に対し、4~6本のチタン製金属インプラント(人工歯根)で上部構造(フルブリッジ)を固定し、咬み合わせ等の口腔機能や見た目を回復する治療方法。 | |
| 自費診療 | インプラント、オールオン4治療は自費診療となり健康保険対象外です。 | |
| 治療費 | 2,910,000円(税別) (ノーベルガイドプランニング、CT診断料、インプラント アバットメント、上部構造含む) |
|
| 治療期間 | 約6ヶ月 | |
| 主なリスク 副作用 |
インプラント | インプラントのリスク・副作用についてはこちら |
| オールオン4 |
|
|
従来法との違い「本数が少ない」のが特長です
従来の治療法
▲従来の治療法(上下の顎にインプラントを10本づつ埋めこんだレントゲン)
従来、すべての歯を失った方にインプラント治療を行う場合、骨の移植をしたり、8~14本のインプラントを埋め込むのが一般的でした。
そのため手術時間が長くなり、術後の腫れも大きく、費用がかさむという不安要素がありました。
オールオン4
▲上下顎にインプラントを4本づつ埋入
オールオン4は、奥のインプラントを骨のある部分へ斜めに埋め込み、力を広く均等に配分することにより、最小4本*のインプラントですべての人工の歯を支えることに成功。従来の不安要素を解消することができました。手術や費用の負担を必要最小限に抑えた新しいインプラント治療法、それがオールオン4です。
*顎の骨の状態によってはインプラントの本数が多くなることもあります。
オールオン4による治療の流れ
検査・治療計画
レントゲン写真を撮り全体的な治療計画を立てます。お口の中の型を取り、かみ合せを確認。手術後に装着する仮の歯をあらかじめ作製します。
インプラント埋入
抜歯が必要な場合は抜歯をします。歯茎を切開してインプラントを埋め込みます。麻酔をしてから行うため、痛みは全く感じません。
休憩
インプラントを埋め込んだ後は、しばらく休憩します。
仮歯装着*
インプラントを埋め込んだ数時間後には仮の歯の装着ができます。
1日で治療可能(*お口の状態により、仮の歯の装着が手術翌日以降になる場合もあります)
最終ブリッジに交換
インプラントの埋め込みから約6ヶ月後に、高度が強く、美しい仕上がりの最終ブリッジと交換します。
最終ブリッジを取り付けた後はご自分の歯のようになんでも噛めるようになります。

▲手術当日に入れる仮の歯

▲強度が高く、美しい仕上がりの最終ブリッジ
総入れ歯とインプラント(オールオン4)の比較
総入れ歯によるトラブル⇒ |
⇒オールオン4なら |
|---|---|
| 入れ歯と歯ぐきの間に食べ物がはさまって痛む | 食べ物がはさまって痛むことがない |
| 噛む力を十分にかけられず、硬い物を食べることができない | あごの骨にしっかりと固定されているため、 硬い物も食べることができきちんと栄養が取れるようになる |
| 歯ぐきが覆われていて、食べ物がおいしく感じられない | 天然の歯と変わらない感覚で物を噛んだり、味わうことができる |
| 入れ歯が動いて発音しにくく、人と話をするのが億劫になる | 固定されているため安心しておしゃべりができる |
| 食後に入れ歯をはずして洗ったりするのが嫌で、外出や旅行ができない | 固定式の歯になるため、取りはずす必要がなく、外出や旅行が楽しめる |
| 口臭がひどいのではないかと不安で人に会えない | 人と会うことに対して自信が持てるようになる |
| あごがやせてしまい、年老いて見える | あごの骨の変形も少なく、若々しい顔貌を維持できる |
よくあるご質問にお答えします
- 歯がまだ数本残っていますが、オールオン4は可能でしょうか。
- 可能です。通常、歯が残っている方や義歯を入れている方は手術当日までそのままご使用いただき、手術当日に抜歯を行います。同日中にインプラントを埋め込み、その数時間後(症状によっては次の日)には新しい歯(仮の歯)が入ります。
- オールオン4をしたいのですが、どのくらい持つか心配です
- オールオン4の医学文献によると、インプラントの1年後の残存率は上顎で97.6%下顎で98.2%、ブリッジとしては上下とも100%という結果が出ています。この成功率は大変高いものと言えます。
- 大掛かりな手術のようなので、痛くないか心配です。
- 手術中は麻酔をしっかりしますので、痛みは感じません。また、お口の中は体のほかの部分と比べると、手術の範囲が狭いですし、治りやすい部分でもあります。実際に手術された患者さんからは、思ったより楽だったという感想がほとんどです。
- できるだけ痛くなく、腫れないようにオールオン4をしてもらう方法はありますか?
- ノーベルガイドシステムというCTを基にコンピューター上で精密な計画を立てて手術を行う方法があります。この方法ですと、歯ぐきに3ミリ程度の孔を4つ開けるだけで手術が終わります。型を取る必要もないので、手術からの仮の歯が入るまで、早ければ1時間程度で終わります。また、手術後も出血しない、腫れない、痛みが少ないというのが特徴です。
- オールオン4にしたいけど体力に自信がありません。年齢のことも気になります。
- 上記のノーベルガイドシステムは体力のない方や高齢の方にも適しています。しかし、あご骨の状態によっては使用できない場合もありますので術前の診査・診断が大切です。ご不明な点はドクターにお気軽にご相談ください。
- オールオン4の歯磨きは難しいでしょうか?
- オールオン4で歯磨きが必要なのは4本のインプラントだけなので、本数的に少なく楽だと言えるでしょう。歯ブラシだけでなく、流水タイプの清掃器具を併用するとさらにすっきりとするようです。
- オールオン4後の食事で気をつけることは?
- 術後しばらくは、できるだけインプラントに無理がかからないように、硬いものは避けていただいたほうがよいようです。
*ノーベルバイオケアジャパン(株) オールオン4パンフレットより転載
CONTACT
ご予約・お問合せ
※土曜17時まで 休診日:日・祝
電⾞でお越しの⽅
「水前寺駅」より徒歩5分
「熊本駅」よりタクシーで約15分
お車でお越しの⽅
福岡方面から…「熊本インター」より約20分
鹿児島方面から…「益城熊本空港インター」より約20分
