ホームホワイトニング
ホワイトニングも審美のひとつです。歯自体が持っている白さをより白くしたいときに行います。当院では、自宅で手軽に行えるホームホワイトニングをお薦めしています。
ホームホワイトニング
ホームホワイトニングは個人用のマウスピースを作成し、そこに薬を入れて一日数時間、数日間装着し、歯の表面から漂白する方法です(症状によって使用時間が異なります)。
自宅でできる処置なので、比較的簡便なのが特徴です。
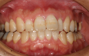
ホワイトニングの症例1

![]()

患者さまは、30代の男性で歯の色が黄色いのが気になるとのことでホワイトニングを希望されました。
そのため患者さま専用のホワイトニングトレーを製作し3週間ほど夜間寝ている間に6時間装着していただきました。1週間目から歯の白くなって行くのがわかり、ホワイトニング効果が得られました。笑った時などに家族、友人の方々から白くなったと言われ凄く良かったと満足されていました。
| 治療内容 | 歯の漂泊薬剤を自分専用のマウストレーに流し込み、それを1日数時間歯にあてがい、歯の色を白く回復する治療法。 |
|---|---|
| 自費診療 | ホームホワイトニング法は自費診療となり健康保険対象外です。 |
| 治療費 | 61,000円(税別) |
| 治療期間 | 約1~3週間 |
| 主なリスク 副作用 |
|
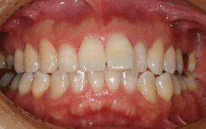
ホワイトニングの症例2

![]()

患者様は、女性の方で全体的に歯が黄色いのが気になるということでした。
はじめにお口の中の写真を撮影し、患者さまの歯にあったマウスピースに似たホワイトニングトレーを製作しそれにホワイトニングジェルを流してもらい、1日6時間ほど装着しもらいます。1週間後には、ご本人がわかるように白くなってきます。上記は約3週間後の写真になります。患者様自身これくらい白くなるとは思っていなかったようで凄く満足されていました。
| 治療内容 | 歯の漂泊薬剤を自分専用のマウストレーに流し込み、それを1日数時間歯にあてがい、歯の色を白く回復する治療法。 |
|---|---|
| 自費診療 | ホームホワイトニング法は自費診療となり健康保険対象外です。 |
| 治療費 | 61,000円(税別) |
| 治療期間 | 約1~3週間 |
| 主なリスク 副作用 |
|
それぞれの人の歯の色によってホワイトニング効果が出やすい方もいれば出にくい方もいますので、スタッフの方までお気軽にご相談ください。
ホワイトニングについての無料カウンセリング、無料メール相談を受け付けております。
CONTACT
ご予約・お問合せ
※土曜17時まで 休診日:日・祝
電⾞でお越しの⽅
「水前寺駅」より徒歩5分
「熊本駅」よりタクシーで約15分
お車でお越しの⽅
福岡方面から…「熊本インター」より約20分
鹿児島方面から…「益城熊本空港インター」より約20分
