前歯のエンプレスククラウン

![]()

| 治療内容 | 自分の歯を土台として、セラミック製の被せ物(冠)をかぶせて見た目や咬合機能の回復をはかる治療方法。 |
|---|---|
| 自費診療 | エンプレスクラウン法は自費診療となり健康保険対象外です。 |
| 治療費 | 125,000円(税別) |
| 治療期間 | 約3ヶ月 |
| 主なリスク 副作用 |
|
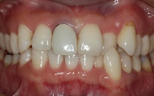
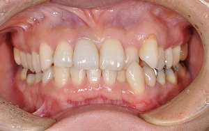
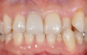
前歯のオールセラミックスのエンプレスによる症例です。写真の正面から見て、中央の前歯の左側の裏側の金属が気になるということで治療となりました。仮歯に変え、オールセラミックス用に土台の歯を削り再度仮歯の調整を行い型取りを行いました。そして、エンプレスオールセラミックスをセットした状態です。

このように自然な白さを取り戻せるだけでなく、内側に金属を使っていませんので、当然、歯ぐきの境目にある黒ずみ(ブラックマージン)も改善できました。
オールセラミッククラウンについて詳しくは当院にお気軽にご相談ください。
CONTACT
ご予約・お問合せ
※土曜17時まで 休診日:日・祝
電⾞でお越しの⽅
「水前寺駅」より徒歩5分
「熊本駅」よりタクシーで約15分
お車でお越しの⽅
福岡方面から…「熊本インター」より約20分
鹿児島方面から…「益城熊本空港インター」より約20分
